カクデンタルクリニック

ホワイトニング 入門編、実践編    『 杉並区高円寺の歯科医院より 』
 
2007/10/10 18:53:08|その他
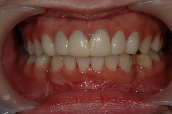
審美的なインプラント上部構造

歯科材料の進歩と生態的安定により、確かな予知性を期待できるようになりました。特にジルコニアの進歩普及によって患者さんや我々が得られるメリットは大きくなりました。
ここでは、インプラント・ジルコニアアバット使用で、より天然歯に近づいた審美的ケースを紹介します。
 2年ほど前にNobelから発売されたプロセラアバット(既製)を米国で購入してきました。
 
出来るだけ審美的な歯肉形態を維持させる為に最初の処置は、抜歯即時埋入でアバットとプロビジョナルクラウンまでsetしました。

写真1 出来るだけ矯正的に廷出させて組織を増生
写真2 埋入後抜歯禍との隙間に骨補填
写真3 前以って製作しておいたアバット装着
写真4 セラミックスクラウン装着から2年後







2007/09/05 17:02:51|その他
インプラント周囲の治療  part 1


右側の咀嚼不全を主訴に来院されました。
右下の欠損部はCT診断後、薄い下顎骨であったが、スプリットクレストとGBR(骨造成)でインプラント植立は可能であった。しかし、対合歯の廷出によってインプラント上部構造の入る余地がありません。
アバット+セラミックスクラウンのセメント合着タイプには、インプラント上部クリアランスは最低6.5ミリ必要です。
患者さんは30代女性で審美要求が強い方ですので、出来る限り
インプラントの上部構造を審美的に製作するスペースを確保するために、右上5,6,7の歯根長を考慮してから、クラウンレングスニングを行いました。また、インプラント埋入時も骨頂を数ミリ落としてから、埋入しました。







2007/08/01 15:03:53|その他
3M LAVA

昨年登場した新世代のCAD-CAM製のジルコニアです。
今回は美白を強く求める患者さんで、稀ですがB1以上の白い歯を求めています。
普通のオールセラミックスでも色は出せますが、クレンチングが強いのでジルコニアを選択しました。
その中でも、LAVAは5年間保障のあるところが魅力です。
今回初めて使用してみましたが、とても適合が良かったので紹介させていただきます。
今までセルコンをはじめOPC,GN-1,プロセラなどいくつかの2層式オールセラミックスを使用してきましたが、テクニシャンによる支台歯の読み込み力もありますが、lavaは適合の良さに驚きました。また、内冠に用いるジルコニアのシェードも充実しているので、天然歯と同様な透明感を実現できます。
是非一度お試しください。
1枚目 初診時
2枚目 TEK
3枚目 セラミックスset
4枚目 スマイル







2007/06/26 10:55:46|その他
第9回 PRD  in Boston  GBR 其の3

 Dr.simionのGBRのつづきです。

 6ヶ月〜9ヶ月の間にCTにて骨製造具合を確認する。

 その後インプラント埋入を通常どうり行う。

 補足ですが、Dr.pikosはベニアグラフトでも4ヵ月後にインプラント埋入をすべて行っていました。(フロリダでhands-on コース行っています。日本からも参加できます。http://www.pikosinstitute.com/)

 Dr.simionとDr.saschaはとても仲が良いので同じ様なGBRを行います。Dr.saschaは明海大学ポストグラデュエートにてセミナーも行っています。

 週末に知人が主催したDr.saschaの食事会で色々教われたら、また報告いたします。







2007/06/26 10:34:20|その他
第9回 PRD  in Boston  GBR 其の2

 Dr.simionのGBRのつづきです。

 直径1.5-2.0ミリのチタンスクリューを使用していました。
 
 TR−メンブレンが裂開する頻度は15%と言っていました。しかし、上手く行けば補填した骨は吸収することが無く100%の骨造成が出来るそうです。

 以前Dr.saschaからhands-onで教えて貰った時、彼は吸収性メンブレンだと最大40%まで骨補填材が吸収することもあるが、TR−メンブレンが上手く行けば100%だと同じ事を言っていました。
 
 皆さん承知の様に補填の順序は吸収し易いDFDBAや自家骨の上にTCPやBio-ossをサンドイッチするのがポイントですね!

 







[ 1 - 5 件 / 14 件中 ] 次の5件 >>